Tuberkuloza je zabilježena kao najsmrtonosnija zarazna bolest na svijetu nakon COVID-19 u 2021. godini, jer je 1,6 miliona ljudi umrlo od posljedica te bolesti, objavila je Svjetska zdravstvena organizacija (WHO).
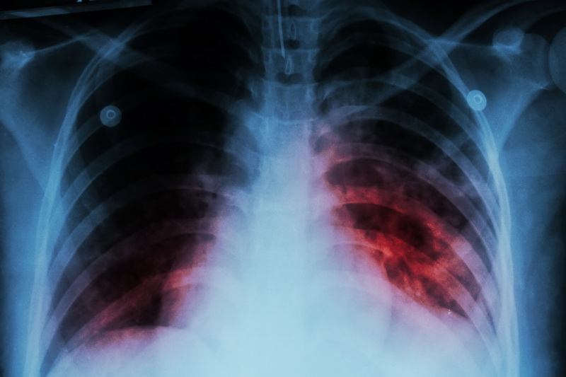
Nakon COVID-19, tuberkuloza je najsmrtonosnija zarazna bolest na svijetu. Uzrokuju ga bakterije koje obično pogađaju pluća. Klice se uglavnom prenose s osobe na osobu u zraku, na primjer kada zaražena osoba kašlje ili kiše.
Iako je moguće liječiti zahvaljujući naučnim istraživanjima, tuberkuloza i dalje svake godine uzima veliki broj života širom svijeta.
Prema Svjetskoj zdravstvenoj organizaciji, oko 10,6 miliona ljudi, uključujući 1,2 miliona djece, oboljelo je u 2021. godini u svijetu, a umrlo je 1,6 miliona.
Svjetski dan borbe protiv tuberkuloze obilježava se 24. marta svake godine kako bi se podigla svijest javnosti o bolesti koja se može spriječiti i izliječiti.
Tereza Kasaeva, direktorica Globalnog programa za borbu protiv tuberkuloze Svjetske zdravstvene organizacije, rekla je da je 2023. kritična godina za promicanje agende ka okončanju bolesti.
Navela je da uprkos globalnim naporima u borbi protiv tuberkuloze, dnevno skoro 4.400 osoba izgubi život, a oko 30.000 drugih se razboli.
Ljudi koji pate od pothranjenosti suočavaju se sa utrostručenim rizikom u odnosu na druge. Procjenjuje se da je oko 2,2 miliona slučajeva u 2021. uzrokovano pothranjenošću.
Više od 80 posto smrtnih slučajeva od ove bolesti događa se u zemljama sa niskim i srednjim prihodima.
Najviše slučajeva tuberkuloze zabilježeno je na području Južne Azije i to 46 posto, a u Africi 23 posto.
U izvještaju WHO-a je navedeno da je dvije trećine slučajeva tuberkuloze u svijetu u 2020. zabilježeno u osam zemalja – Indiji, Indoneziji, Kini, Filipinima, Pakistanu, Nigeriji, Bangladešu i Demokratskoj Republici Kongo.
Nakon što je WHO 1993. godine proglasio tuberkulozu “globalnim vanrednim stanjem”, preduzeti su koraci u borbi protiv te bolesti širom svijeta.
(24sata.info)

