Majka, identificirana samo kroz prezime Li, rodila je dječaka i djevojčicu carskim rezom, saopštila je Narodna bolnica Xi’an u pokrajini Shaanxi, nazvavši to pojavom “jednog od milion” slučaja.
“Izuzetno je rijetko da blizanci budu začeti prirodnim putem u svakoj šupljini maternice, a još rjeđe da se rode do termina”, objavila je bolnica na svom službenom računu na kineskoj platformi društvenih medija Weibo 18. septembra.
Prema bolnici, novopečena je majka rođena s dva grlića maternice i dvije maternice, stanje koje se naziva didelfija maternice koje se nalazi u otprilike 1 od 2000 žena, prenosi N1.
Njezina je priča osvojila kineske društvene medije i postala popularna tema, s više od 50 miliona pregleda posljednjih dana, a mnogi korisnici dijele poruke pune strahopoštovanja.
“To je čudo!” jedan korisnik je napisao, dok je drugi rekao: “Kakva je ona sretnica!”. Neki su izrazili zabrinutost za majku, a jedan je korisnik napisao “ovo je moralo biti teško i opasno za nju!”
Čini se da je njena priča pokazala sretan ishod nakon suočavanja s takvim okolnostima, a bolnica je otkrila da je prethodnu trudnoću pobacila.
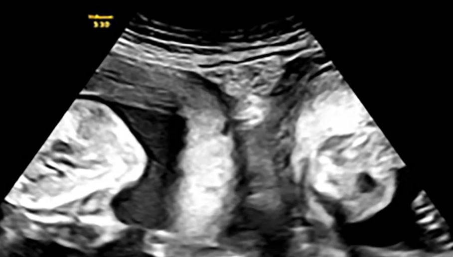
Ali u januaru Li je ponovno zatrudnjela i otkrila je tokom ranog ultrazvuka da ne očekuje samo jedno dijete već blizance – po jednog u svakoj maternici.
Nakon “pomnog i strogog” medicinskog nadzora, “uspješno” je rodila dječaka i djevojčicu, saopštila je bolnica.
(24sata.info)

